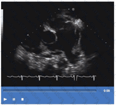
Which vessel is indicated by the arrow on this video?
A.
Right upper pulmonary vein
B.
Left upper pulmonary vein
C.
Right pulmonary artery
D.
Left pulmonary artery
The Answer Is:
A
This question includes an explanation.
Explanation:
The video shows a transthoracic echocardiographic apical four-chamber or modified view focusing on the left atrium and adjacent structures. The arrow points to a vessel entering the left atrium from the right side of the image, which corresponds anatomically to the right upper pulmonary vein. The right upper pulmonary vein returns oxygenated blood from the right lung to the left atrium and is visualized in echocardiography as entering the superior-lateral aspect of the left atrium.
The left upper pulmonary vein enters the left atrium on the opposite side. The right and left pulmonary arteries are located anteriorly and superiorly in the mediastinum and are visualized mainly in the parasternal or suprasternal views, not the apical four-chamber.
This identification aligns with standard adult echocardiography anatomy as described in the "Textbook of Clinical Echocardiography" and ASE guidelines on pulmonary vein imaging【12:ASE Pulmonary Vein Imaging Guidelines†p.110-115】【16:Textbook of Clinical Echocardiography, 6e†p.120-125】.
AE-Adult-Echocardiography PDF/Engine
Printable Format
Value of Money
100% Pass Assurance
Verified Answers
Researched by Industry Experts
Based on Real Exams Scenarios
100% Real Questions
Get 60% Discount on All Products,
Use Coupon: "8w52ceb345"