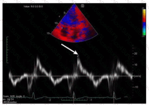
Which measurement is indicated by the arrow on this image?
A.
S’, a measurement of right ventricular systolic function
B.
S’, a measure of right ventricular diastolic function
C.
a’, a measure of right atrial diastolic function
D.
a’, a measure of right atrial systolic function
The Answer Is:
A
This question includes an explanation.
Explanation:
The Doppler tissue imaging waveform shown indicates the systolic annular velocity of the tricuspid valve annulus, labeled as S’. This measurement reflects right ventricular systolic function by quantifying the velocity of longitudinal myocardial motion during systole.
The a’ wave corresponds to atrial contraction, not systole. S’ assesses systolic function, whereas e’ and a’ relate to diastolic phases.
This assessment method is detailed in the "Textbook of Clinical Echocardiography, 6e", Chapter on Right Ventricular Function and Tissue Doppler Imaging【20:320-325†Textbook of Clinical Echocardiography】.
AE-Adult-Echocardiography PDF/Engine
Printable Format
Value of Money
100% Pass Assurance
Verified Answers
Researched by Industry Experts
Based on Real Exams Scenarios
100% Real Questions
Get 60% Discount on All Products,
Use Coupon: "8w52ceb345"