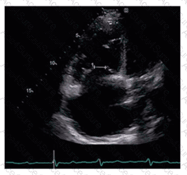
What can be concluded about the tricuspid valve demonstrated in this image?
A.
Malcoaptation
B.
Normal coaptation
C.
Stenotic
D.
Endocarditis
The Answer Is:
A
This question includes an explanation.
Explanation:
The image shows incomplete leaflet apposition of the tricuspid valve leaflets with a visible gap, indicating malcoaptation. This is a common cause of tricuspid regurgitation due to leaflet tethering or annular dilation.
Normal coaptation would show complete leaflet closure. Stenosis would show restricted leaflet motion but not malcoaptation. Endocarditis involves vegetations and leaflet destruction, which are not evident here.
This echocardiographic feature is described in the "Textbook of Clinical Echocardiography, 6e", Chapter on Tricuspid Valve Disease【20:330-335†Textbook of Clinical Echocardiography】.
AE-Adult-Echocardiography PDF/Engine
Printable Format
Value of Money
100% Pass Assurance
Verified Answers
Researched by Industry Experts
Based on Real Exams Scenarios
100% Real Questions
Get 65% Discount on All Products,
Use Coupon: "ac4s65"